Nossos ouvidos são um órgão importante do nosso corpo. Todos sabemos que eles são usados para a audição, mas existe uma outra função que pouca gente conhece: o equilíbrio.
Sem uma estrutura interna chamada labirinto, atividades comuns, como caminhar, seriam seriamente prejudicadas.
Justamente por isso, nós temos que cuidar dos nossos ouvidos com muito esmero! Mas se você está pensando em pegar um cotonete e partir para a limpeza, pare agora mesmo.
Aqui nós vamos listar razões pelas quais você deve optar por usar seus dedos para dar aquela faxina, ao invés destes toquinhos de algodão.
Os cotonetes são, na verdade, potencialmente perigosos para a estrutura do ouvido. O uso exagerado ou equivocado deles pode levar a dolorosas infecções e a danos irreparáveis. Atualmente, muitos médicos recomendam que você aposente seu cotonete.
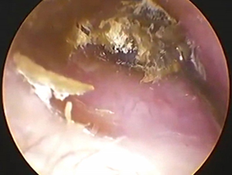
O cotonete empurra a cera para dentro do canal auditivo. Com isso, a cera e outras sujeiras acabam se acumulando na frente do tímpano, eventualmente prejudicando a qualidade da sua audição.

A cera é uma secreção natural das glândulas sebáceas presentes no ouvido. Sua consistência pegajosa captura a poeira e os microorganismos, impedindo que eles se aprofundem no canal auditivo, onde poderiam causar sérios danos.
Entretanto, ao usar cotonetes, nós empurramos a sujeira diretamente para dentro do ouvido interno. Isso é exatamente o oposto do que foi planejado pela natureza!
Resultado: quando tentamos limpar o ouvido, nós acabamos deixando nosso tímpano ainda mais sujo.

O problema é que estes detritos acumulados bloqueiam o canal auditivo, podendo dificultar a audição. Além disso, se a sujeira permanece nesta parte profunda do ouvido, você pode acabar com uma inflamação dolorosa e perigosa. Neste caso, o pior cenário seria a surdez permanente. Apesar desta ser uma situação rara, ela pode sim ocorrer.

Limpar nossos ouvidos é, na verdade, completamente desnecessário. A cera faz sozinha esta faxina, protegendo nosso canal auditivo da sujeira externa.
O que ocorre é que algumas pessoas produzem essa secreção oleosa em grande quantidade.
Este excesso de produção é visto geralmente como incômodo ou anti-higiênico, levando a um uso exacerbado dos prejudiciais cotonetes.
Para os que tem este problema, a recomendação é que limpem a parte externa do ouvido com um pano úmido.
Cotonetes são um método ultrapassado e potencialmente perigoso, então evite-os a todos custo e busque alternativas. Se tiver dúvidas, converse com o seu médico.
Para evitar que outras pessoas acabem com um problema grave no ouvido, compartilhe este artigo com todos que você conhece. É importante saber!
Gostou? COMPARTILHE!!


