Muitas mulheres sonham em colocar próteses de silicone nos seios, tudo para se sentirem mais bonitas, mais confiantes e melhorarem sua autoestima.
Mas, dificilmente, alguma mulher colocaria silicone com o objetivo de te algum tipo de proteção contra a violência urbana, certo? Pois bem, um caso para lá de bizarro aconteceu no Canadá e deu uma “utilidade” a mais para as famosas próteses de silicone. Não é que ela foi salva de uma bala perdida justamente pelos implantes?
![]()
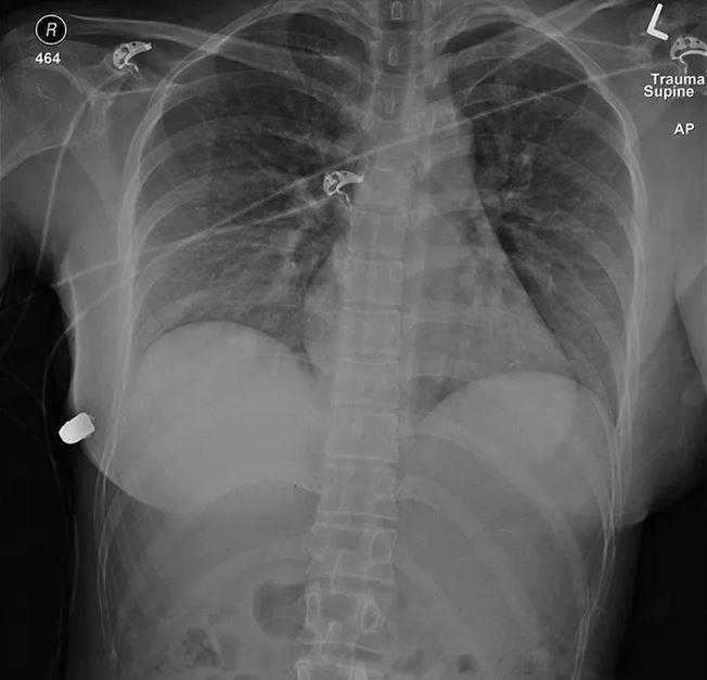
O caso acabou de ser relatado em uma conhecida revista hospitalar voltada para a cirurgia plástica e foi a primeira vez que algo assim foi relatado na literatura médica.
Segundo a publicação, a paciente – cujo nome foi preservado – estava andando na rua quando começou a sentir muita dor e calor no lado esquerdo do peito. Ao olhar para baixo, viu que seus seios estavam sangrando e, claro, correu para o hospital.
![]()
Ao se examinada, foi encontrado um ferimento de entrada no lado direito. Foi aí, então, que o inesperado aconteceu. Após passar por uma série de exames, os médicos descobriram uma bala alojada no seio esquerdo da mulher.
Mas mais do que isso: exames de imagem mostraram que a bala entrou pelo seio direito, acabou sendo desviada e desacelerada pelos implantes de silicone, e acabou se alojando no implante do lado esquerdo. O impacto foi tamanho que a prótese esquerda acabou virando pelo contrário.
“A prótese de silicone provavelmente foi responsável por desviar a trajetória da bala e salvar a vida da mulher. Com base na trajetória de entrada da bala, a única fonte de deflexão do projétil foi o implante da mama esquerda.
Esse implante cobre o coração e a cavidade intratorácica e, portanto, provavelmente salvou a vida da paciente”, escreveram os especialistas no artigo.
![]()
Silicone salvador
A paciente em questão perdeu os implantes, mas continua viva, e agora é objeto de estudos. Não é de agora que profissionais da saúde pesquisam a capacidade de implantes de silicone atuarem em casos de ataques.
Na verdade, já foi provado que eles podem, de fato, alterar a velocidade ou mesmo desviar projéteis. Mas essa foi a primeira vez que um caso real foi relatado. Com isso, os estudos nessa área se ampliam.
Será que agora vão criar próteses de silicone à prova de balas? Será que vai virar equipamento de proteção? Já imaginaram em “seios blindados”?



