A criança ouviu os nossos pais que precisam de uma alimentação saudável, não é mesmo?
Quem nunca disse que está indo para médico?O que é, depois disso, cresce, fica mais difícil para a alimentação devido a uma correria do dia a dia.
O que há de novo, o que é o que você precisa para receber os seus dias?
Aqui estão alguns sinais com que você deve se preocupar
1 – Mãos geladas

Algas e camarões são ricos em iodo e nas últimas as mãos geladas, cramberries, iogurtes e batatas também possuem muito iodo e podem te ajudar.
2 – Língua rachada
Real is not nothing normal ficarmosmos com uma língua rachada, is that does not being normal with you have a has a kont-a-thing is not nothing legal.
Para acabar com isso, é preciso consumir uma boa dose de vitamina B, que está presente nos peixes e na soja.
3 – Unhas quebradiças
Quando estamos com as fraturas, que quebram com qualquer coisa, é um sinal que estamos realmente precisando consumir magnésio.
Então, mulheres, quando estão com um problema e não sabem como é que acontece, coma alimentos como banana, cereais integrais e bananas, isso vai ajudar como uma obrigação ao consumo de magnésio presente.
4 – Envelhecimento prematuro
Se você está se tornando velho, muito rápido, sem sombra de olhos pode ser produzido pela sua alimentação.
Para prevenir as rugas no nosso rosto, nós precisamos consumir mais alimentos que contém vitaminas A e E, que estão presentes nas frutas e verduras, talvez por isso elas sejam tão necessárias nas nossas vidas.
5 – Pele seca
A pele seca pode ser uma coisa normal para as pessoas, pode ser causada pelo frio ou apenas por estar desidratada, mas a falta de vitamina A no nosso corpo também pode fazer com que nossa pele fique seca.
Cenoura é um alimento que ajuda muito a deixar nossa pele saudável, folhas verdes escuras e carne vermelha também, e por incrível que pareça, a manteiga também é rica em vitamina A e pode ajudar a deixar nossa pele hidratada.
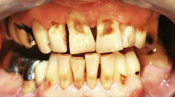
6 – Dentes estragados

Claro que se as pessoas não cuidarem dos dentes eles vão realmente ficar feios e destruídos, mas a alimentação pode sim afetar nos nossos dentes.
Se seus dentes estão em mal estado, pode ser um sinal que você precisa cortar o açúcar, e sangramentos nas gengivas podem indicar que você precisar obter um pouco de vitamina C, presente em frutas cítricas e brócolis.
7 – Problemas na hora de fazer a digestão

Algumas pessoas tem problemas com a digestão por comer exageradamente, mas outras tem problemas com isso pelo fato da alimentação estar praticamente um lixo.
Isso pode estar acontecendo pelo fato de você ter pouca fibra no corpo, o que pode também causar prisão de ventre e diarreia.
Os alimentos que podem nos ajudar a ter mais fibras no corpo são o feijão, grãos em geral, sementes e cereais e macarrão de trigo integral.
8 – Cicatrização lenta
Toda cicatrização realmente dura alguns dias para ser feita e fechada, isso é normal.
Mas as vezes o nosso corpo demora um tempo a mais que o normal para fazer cicatrizações, e isso pode ser uma consequência da nossa má alimentação.
As calorias e proteínas são necessárias para o nosso corpo cicatrizar, para que o processo de cura seja mais rápido.
Agora se você tem uma cicatrização rápida, amigo, você deve ser uma pessoa saudável com uma dieta devidamente balanceada.
9 – Cabelo quebradiço

Sabe quando estamos com o cabelo quebradiço, que fica parecendo mais um elástico do que um fio de cabelo? Pois é amigos, isso pode sim ser uma consequência da sua má alimentação.
Quando isso acontece, uma das causas pode ser que você precise de mais proteínas que são encontradas em sucos saudáveis de proteína e qualquer tipo de carne, mas se você é vegetariano, essas proteínas podem ser consumidas através do feijão, ovos e nozes.
E aí amigos, acham que o corpo de seus homens estão sendo sinalizados alguns desses sinais?Comentem!



